Trong khuôn khổ Triển lãm Y tế Quốc tế Việt Nam lần thứ 13 (PHARMEDI 2018), Công ty CP Quốc tế Việt Nam Nhật Bản (JVI) phối hợp với một số tổ chức, doanh nghiệp Nhật Bản tổ chức Hội thảo - Tọa đàm “Các biện pháp phòng chống Ung thư và bệnh tim mạch – Thành tựu trong Y tế dự phòng Nhật Bản” vào 14h00 ngày 20/09 tại Phòng Hội thảo Triển lãm, Trung tâm Triển lãm Hội nghị Sài Gòn SECC số 799 Nguyễn Văn Linh, quận 7, thành phố Hồ Chí Minh.
Y tế dự phòng hay Y học dự phòng là một lĩnh vực Y tế liên quan đến việc thực hiện các biện pháp để nâng cao sức khỏe, phòng bệnh hoặc ngăn chặn sự tiến triển của bệnh và giảm thiểu những tác hại của bệnh tật ảnh hưởng đến chất lượng cuộc sống con người. Đây được coi là nền tảng của Y học hiện đại, được các quốc gia tiên tiến trên thế giới đầu tư nghiên cứu phát triển mạnh mẽ mà đi đầu là Nhật Bản. Nền Y tế đặt mục tiêu phòng bệnh hơn chữa bệnh, hướng tới các giải pháp bảo vệ nâng cao sức khỏe và chất lượng cuộc sống từ khi chưa có bệnh với rất nhiều thành tựu trong y học dự phòng đã đưa Nhật Bản trở thành quốc gia có tuổi thọ trung bình cao nhất thế giới trong suốt vài thập kỷ qua.
Là đơn vị tiên phong trong việc đưa các ứng dụng Y học dự phòng tiên tiến của Nhật Bản về Việt Nam, Công ty Cổ phần Quốc tế Việt Nam Nhật Bản đã phối hợp với các chuyên gia hàng đầu của Nhật Bản trong lĩnh vực này để giới thiệu những thành tựu ứng dụng mới nhất trong y tế dự phòng, đặc biệt chú trọng việc phòng chống các bệnh có nguy cơ tử vong hàng đầu trên thế giới như tim mạch và ung thư tại Hội thảo được tổ chức trong khuôn khổ Triển lãm Y tế Quốc tế Việt Nam lần thứ 13 (PHARMEDI 2018).
Liệu pháp tế bào gốc là liệu pháp giúp bổ sung các tế bào gốc khỏe mạnh, làm tăng số lượng các tế bào quan trọng bị giảm đi do quá trình lão hóa hoặc do bệnh tật. Các tế bào gốc tách từ mẫu tế bào của bệnh nhân sẽ được lựa chọn, hoạt hóa và nuôi cấy tại phòng nuôi cấy tế bào để đạt số lượng tăng trưởng và trạng thái tốt nhất. Sau đó, lượng tế bào gốc đã nuôi cấy được đưa trở lại cơ thể bệnh nhân bằng phương pháp truyền vào tĩnh mạch hoặc tiêm trực tiếp vào các khu vực cần điều trị. Không chỉ là liệu pháp chống lão hóa tiên tiến nhất trên thế giới hiện nay, trị liệu tế bào gốc còn có tác dụng tăng cường hệ miễn dịch, hỗ trợ điều trị các bệnh về xương khớp, tim mạch, huyết áp, tiểu đường và ung thư.

Công dụng của tế bào gốc
Liệu pháp miễn dịch với cơ chế dùng chính tế bào miễn dịch của cơ thể đưa ra ngoài nuôi cấy và hoạt hóa lên, sau đó truyền lại vào cơ thể để làm tăng khả năng tự miễn dịch. Nhật Bản đã có các nghiên cứu chứng minh tác dụng của liệu pháp miễn dịch trong việc phòng chống nguy cơ ung thư, tăng cường khả năng miễn dịch, thể trạng, sức khỏe của chủ thể. Thêm vào đó, liệu pháp miễn dịch cũng có tác dụng rất tích cực trong điều trị và hỗ trợ điều trị ung thư thông qua khả năng tiêu diệt tế bào ung thư của các tế bào miễn dịch trong cơ thể. Liệu pháp miễn dịch có thể đem kết hợp với các liệu pháp khác (phẫu thuật, xạ trị, hóa trị) hoặc đơn phương điều trị đều đem lại kết quả. Liệu pháp miễn dịch có thể áp dụng cho cả những bệnh nhân cơ thể suy nhược do ung thư, không thể phẫu thuật hoặc không thể dùng hóa chất.

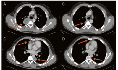
Kết quả sau điều trị bằng liệu pháp miễn dịch: Các khối u được thu nhỏ hoặc biến mất
Thực phẩm chức năng là một khái niệm hiện đã và đang được sử dụng rộng rãi ở các nước có nền y học phát triển để chỉ một loại thực phẩm chế biến có khả năng tăng cường sức khỏe, nâng cao đề kháng, phòng ngừa và hỗ trợ điều trị bệnh cho người sử dụng. Sử dụng khái niệm thực phẩm chức năng lần đầu tiên vào những năm 1980, từ rất lâu trước đó người Nhật đã nghiên cứu, chiết xuất và điều chế ra các loại thực phẩm chế biến an toàn, hiệu quả để tăng cường sức khỏe và phòng chống bệnh tật. Trong Hội thảo lần này, chúng tôi có mời chuyên gia nghiên cứu hàng đầu của một tập đoàn dược phẩm, thực phẩm chức năng chuyên phòng ngừa đột quỵ và các bệnh tim mạch có lịch sử hơn 105 năm tại Nhật Bản tới giới thiệu, hướng dẫn cách người Nhật sử dụng các biện pháp dự phòng, bảo vệ, tăng cường sức khỏe. Bên cạnh đó là các bác sĩ, chuyên gia uy tín của Nhật Bản về công nghệ tế bào gốc và tế bào miễn dịch cũng sẽ tham gia trình bày về các ứng dụng của các công nghệ này trong y học dự phòng tại Nhật. Hy vọng rằng sự kiện sẽ thu hút được sự quan tâm tham dự của các cán bộ y tế, các chuyên gia, bác sĩ và đông đảo người dân cả nước, góp phần nâng cao nhận thức về tầm quan trọng của y tế dự phòng trong việc phòng chống bệnh và bảo vệ sức khỏe cho người dân Việt Nam.

